Đã bao giờ bạn tự hỏi liệu nên trồng răng Implant hay không? Và tại sao? Trên thực tế, trồng răng Implant đang trở thành giải pháp phục hình răng mất tối ưu nhất hiện nay. Và dưới đây là những lời khuyên từ các bác sĩ để giúp bạn hiểu rõ hơn về phương pháp này.
Trồng răng Implant là gì?
Trồng răng Implant là một giải pháp phẫu thuật để khôi phục răng đã mất. Bác sĩ sẽ cấy ghép trụ Implant vào xương hàm của bạn, sau đó gắn răng sứ lên trên thông qua khớp nối Abutment. Quy trình này giúp bạn có được một chiếc răng giả mà gần như không có tác dụng phụ nổi.

Mô phỏng quy trình trồng răng Implant
Quy trình trồng răng Implant
Răng Implant có cấu tạo đầy đủ gồm trụ Implant (chân răng), mão răng sứ (thân răng) và Abutment. Nhờ cấu trúc đặc biệt này, trồng răng Implant có thể thực hiện như răng thật, mà các phương pháp truyền thống không thể làm được.
Quy trình cấy ghép Implant thường trải qua 3 giai đoạn cơ bản, hoàn tất trong khoảng 1 – 3 tháng hoặc hơn nữa. Điều này là do cần đủ thời gian để trụ Implant tích hợp chắc chắn vào xương hàm.
1. Thăm khám & xây dựng phác đồ điều trị
Bác sĩ sẽ đánh giá sức khỏe răng miệng tổng quát và mức độ tổn thương trong răng và hàm dựa trên kết quả chụp X-quang. Đây sẽ là cơ sở cho việc xây dựng phác đồ điều trị cho bạn. Nếu mật độ xương hàm không đủ, bác sĩ sẽ đề xuất ghép xương hàm trước khi đặt Implant. Sau đó, kết quả lấy dấu hàm của bạn sẽ được gửi về phòng thí nghiệm để sản xuất trụ Implant phù hợp.

Mô phỏng quy trình trồng răng Implant
2. Cấy ghép Implant
Sau khi làm sạch khoang răng, bác sĩ sẽ tiến hành gây tê cục bộ cho bạn và lắp trụ titan vào xương hàm. Trong thời gian chờ lành thương, bác sĩ cũng sẽ lắp răng tạm lên trụ để đảm bảo khả năng nhai và nhu cầu thẩm mỹ của bạn.
3. Trồng răng sứ
Khi trụ Implant đã hợp nhất với xương hàm (khoảng 6-14 tuần sau cấy ghép), bác sĩ sẽ tháo răng tạm và lắp răng sứ cố định lên trụ Implant. Bạn cũng sẽ cần đặt lịch tái khám khoảng 1 tháng sau đó để theo dõi tiến trình điều trị.
Ưu điểm của giải pháp cấy ghép Implant
Phương pháp trồng răng Implant mang lại nhiều ưu điểm so với các phương pháp truyền thống. Đầu tiên, trụ Implant thay thế và hoạt động tương tự như chân răng thật, giúp bảo tồn xương hàm và ngăn chặn tiêu xương. Với trường hợp mất một vài răng, trồng răng Implant chỉ can thiệp vào đúng vị trí mất răng, không cần xâm lấn đến răng thật.
Ngoài ra, răng sứ trên Implant được thiết kế sao cho giống răng thật, từ kích thước, hình dáng đến màu sắc. Điều này giúp khôi phục ăn nhai chắc chắn và cải thiện thẩm mỹ. Bên cạnh đó, trồng răng Implant còn giúp nâng đỡ, phối hợp hoạt động với răng đối diện và khôi phục tương quan khớp cắn giữa hai hàm trên và dưới.

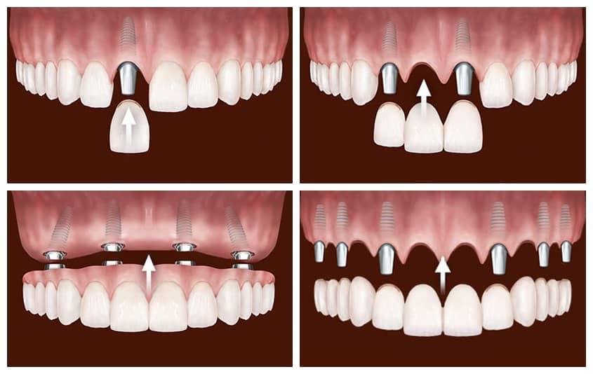
Các kỹ thuật trồng Implant
Tại sao nên chọn Nha Khoa Thẩm Mỹ Quốc Tế – Smile Dental | Bọc Răng SỨ?
Trồng răng Implant là một kỹ thuật phức tạp, vì vậy bạn nên chọn một nha khoa uy tín và có kinh nghiệm trong lĩnh vực này để đạt kết quả an toàn và hiệu quả nhất. Nha Khoa Thẩm Mỹ Quốc Tế – Smile Dental | Bọc Răng SỨ chính là địa chỉ mà bạn có thể tin tưởng.
Với đội ngũ bác sĩ và trang thiết bị hiện đại, Nha Khoa Thẩm Mỹ Quốc Tế – Smile Dental | Bọc Răng SỨ cam kết mang đến cho bạn một nụ cười hoàn hảo và tự tin. Hãy ghé thăm trang web Nha Khoa Thẩm Mỹ Quốc Tế – Smile Dental | Bọc Răng SỨ để tìm hiểu thêm thông tin về dịch vụ trồng răng Implant và các dịch vụ nha khoa khác.
Trồng răng Implant là giải pháp phục hình răng mất toàn diện và tối ưu nhất hiện nay. Với 6 ưu điểm nổi bật phía trên, bạn có thể tự tin trong quyết định của mình.









